At CAIID Dental

Transforming Smiles. Changing Lives.

Through advanced, personalized dental care, we create healthy, refined, and long-lasting results you can see, feel, and trust.

Learn More
Learn More
At CAIID Dental,

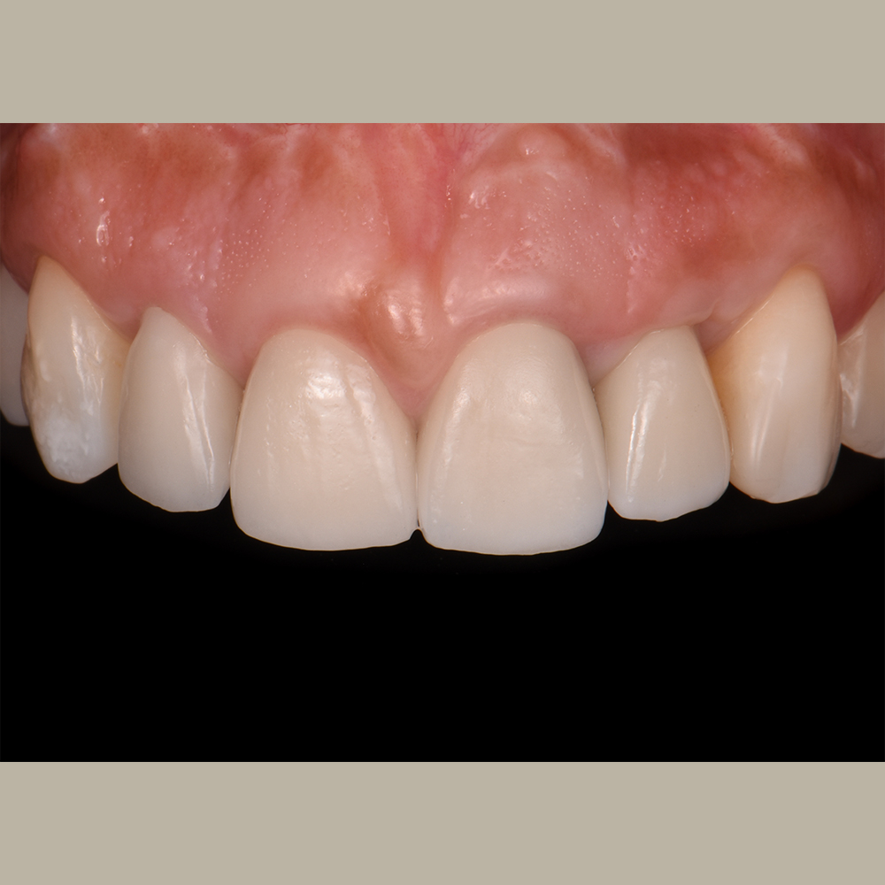
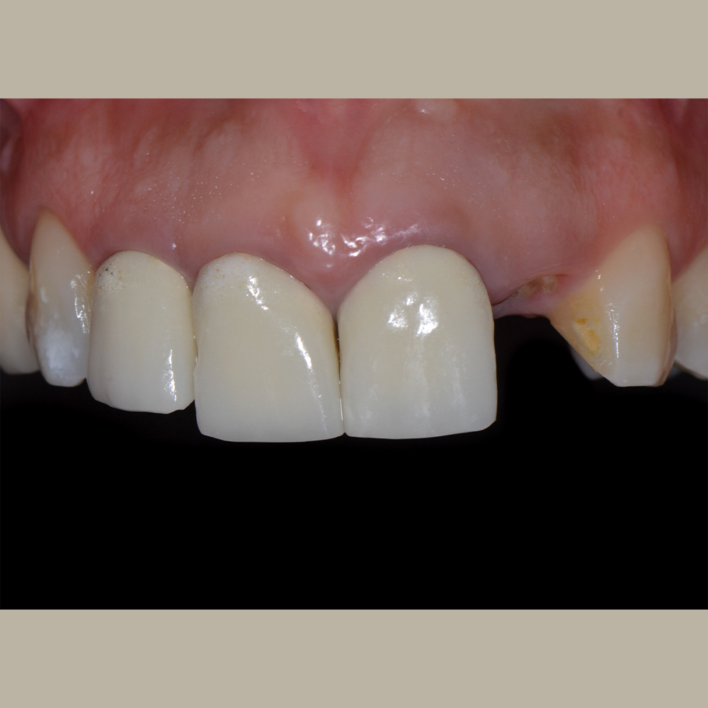
Every smile tells a story. We proudly share real patient cases that reflect our commitment to clinical excellence, precision, and personalized care.

Through before-and-after images

You can see the true results of our dental treatments and the positive impact they have on our patients’ oral health, confidence, and quality of life.

Below

We invite you to explore real cases treated at our dental clinic, showcasing authentic results with photographs of patients’ teeth before and after their treatments.

Full mouth

BEFORE AFTER

Dentures

Crowns and implants

Veneers